El agua de papas es una bebida natural que en los últimos años ha ganado gran popularidad gracias a sus múltiples beneficios para la salud. Prepararla de la manera adecuada es fundamental para aprovechar al máximo sus propiedades nutricionales y evitar errores comunes que pueden reducir su eficacia. En este artículo te mostramos la […]
Bajar de Peso
Receta de sopa de calabaza para reducir el colesterol malo
La sopa de calabaza es una opción deliciosa, nutritiva y fácil de preparar que, además de reconfortar en días fríos, tiene beneficios importantes para la salud cardiovascular. Una de sus mayores ventajas es que ayuda a reducir el colesterol malo (LDL) gracias a sus ingredientes ricos en fibra, antioxidantes y ácidos grasos saludables. Si […]
ATENCIÓN: Amelogénesis y sus trastornos; causas, síntomas y tratamientos
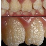
La amelogénesis es el proceso biológico mediante el cual se forma el esmalte dental, una de las sustancias más duras del cuerpo humano. Este proceso es esencial para garantizar la resistencia de los dientes frente al desgaste, la caries y otros agentes externos. Sin embargo, existen trastornos de la amelogénesis que pueden afectar la […]
Té de manzanilla
El té de manzanilla es una de las infusiones más populares y antiguas del mundo. Esta bebida natural es conocida por sus propiedades relajantes, digestivas y antiinflamatorias, lo que la convierte en una excelente opción para consumir en cualquier momento del día. En este artículo, te enseñaremos paso a paso cómo preparar una receta […]
Batido de ciruela pasa
El batido de ciruela pasa es una bebida natural y altamente beneficiosa para la salud intestinal. Esta receta es ideal para quienes buscan una forma natural de combatir el estreñimiento, mejorar la digestión y aportar nutrientes esenciales al organismo. Las ciruelas pasas son conocidas por su alto contenido de fibra dietética, antioxidantes y compuestos que […]
Batido de pepino y limón para ayudar con la inflamación abdominal
La inflamación abdominal es una molestia común que muchas personas experimentan a diario. Puede deberse a una mala digestión, retención de líquidos, exceso de gases o una alimentación poco equilibrada. Una excelente forma natural de aliviar esta incomodidad es mediante el consumo de un batido de pepino y limón, dos ingredientes que se destacan […]
Batido para Ayudar con la Inflamación Abdominal
La inflamación abdominal es un problema común que afecta a muchas personas en su día a día. Puede ser causada por una mala alimentación, el estrés, intolerancias alimentarias o problemas digestivos. Una forma natural y efectiva de aliviar esta molestia es a través de un batido para la inflamación abdominal, preparado con ingredientes que […]
Mojito de Limón Hierbabuena y Piña
Si estás buscando una bebida refrescante, tropical y fácil de preparar, no puedes perderte esta receta de mojito de hierbabuena, limón y piña. Esta deliciosa combinación de ingredientes naturales es perfecta para los días calurosos, reuniones con amigos o simplemente para disfrutar en casa. A continuación, te mostramos paso a paso cómo preparar el mojito […]
Fabada asturiana casera
La fabada asturiana casera es uno de los platos más representativos de la gastronomía del norte de España. Originaria del Principado de Asturias, esta receta tradicional se ha convertido en un símbolo de la cocina española gracias a su sabor profundo, su textura suave y su potente aroma. En este artículo, te enseñamos cómo […]
Gambones al ajillo
Si estás buscando una receta fácil y deliciosa para sorprender a tus invitados, no busques más. Esta receta de gambones al ajillo es perfecta para una cena rápida, elegante y llena de sabor. Los gambones al ajillo son un plato típico de la gastronomía española, muy parecido a las famosas gambas al ajillo, pero […]









